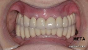
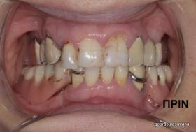
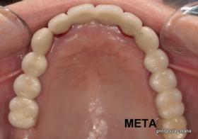
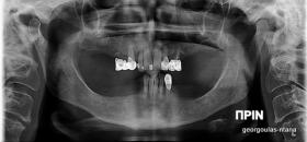
ΟΛΙΚΗ ΑΠΟΚΑΤΑΣΤΑΣΗ ΑΝΩ Κ ΚΑΤΩ ΓΝΑΘΟΥ ΜΕ ΕΜΦΥΤΕΥΜΑΤΑ, ΑΜΕΣΗ ΦΟΡΤΙΣΗ Κ ΑΝΟΙΚΤΗ ΑΝΥΨΩΣΗ ΙΓΜΟΡΕΙΟΥ

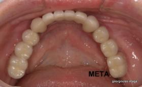
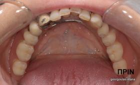
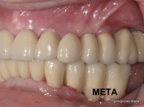
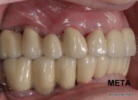
Η ασθενής αυτή είχε παλιές ακίνητες αποκαταστάσεις (γέφυρες) στην άνω γνάθο  κ μια κινητή προσθετική αποκατάσταση (μερική οδοντοστοιχία-"μασελάκι") στην κάτω γνάθο. Ήταν δυσαρεστημένη τόσο με την εμφάνιση όσο και με τη λειτουργία των δοντιών της καθώς παραπονιόταν ότι  είχαν εντονη κινητικότητα ενώ και οι προσθετικές τους εργασιές δεν ήταν σταθερές. Η πρόγνωση των δοντιών κρίθηκε φτωχή με αποτέλεσμα να μην είναι δυνατή η συμμετοχή τους σε μια νεα προσθετική αποκατάσταση με μακροχρόνια διάρκεια. Η ασθενής επιθυμούσε οι νέες αποκαταστάσεις να είναι σταθερές και ακίνητες.  Για το λόγο αυτό αποφασίστηκε η ολική αποκατάσταση της άνω κ κάτω γνάθου με ακίνητες επιεμφυτευματικές εργασίες. Στην αριστερή πλευρά της άνω γνάθου, λόγω μη επαρκούς οστού για την τοποθέτηση εμφυτευμάτων προηγήθηκε επέμβαση ανοιχτής  ανύψωσης ιγμορείου άντρου με τη χρήση πιεζοχειρουργικού μηχανήματος ώστε να δημιουργηθεί το κατάλληλο οστικό υπόστρωμα. Ακολούθησε σε επόμενο χειρουργείο η εξαγωγή των υπάρχοντων δοντιών κ η άμεση τοποθέτηση εμφυτεύματων (άμεση εμφύτευση) κ δύο μέρες μετά η τοποθέτηση προσωρινής εργασίας επί των εμφυτευμάτων (άμεση φόρτιση) με αποτέλεσμα η ασθενής να μη μείνει καθόλου χωρίς δόντια κ να είναι καλυμένη αισθητικά όσο καιρό διήρκησε η εργασία