ΟΛΙΚΗ ΑΠΟΚΑΤΑΣΤΑΣΗ ΑΝΩ Κ ΚΑΤΩ ΓΝΑΘΟΥ ΜΕ ΟΛΟΚΕΡΑΜΙΚΕΣ ΣΤΕΦΑΝΕΣ ΑΠΟ ΔΙΠΥΡΙΤΙΚΟ ΛΙΘΙΟ(Emax)

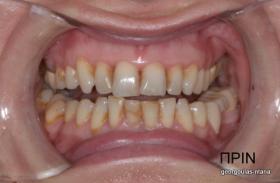
 Η ασθενής ήταν δυσαρεστημένη με την αισθητική εμφάνιση των δοντιών της, κυρίως των άνω και κάτω πρόσθιων, τα οποία είχαν εκτεταμένες εμφράξεις σύνθετης ρητίνης που είχαν αποχρωματιστεί. Κάποια από τα οπίσθια δόντια έφεραν κακότεχνες προσθετικές αποκαταστάσεις (γέφυρα, στεφάνες) ενώ κάποια άλλα ήταν τερηδονισμένα. Η ασθενής επιθυμούσε το καλύτερο δυνατό αισθητικό αποτέλεσμα. Για το λόγο αυτό αποφασίστηκε να τοποθετηθούν μεμονωμένες ολοκεραμικές στεφάνες από διπυριτικό λίθιο (Emax) σε όλα τα δόντια της άνω και κάτω γνάθου, ώστε να εξασφαλιστεί το καλύτερο αισθητικό αποτέλεσμα. Χρησιμοποιήθηκε η τεχνική MIPP (Minimally Invasive Prosthetic Procedures) με ελάχιστη αποκοπή οδοντικών ιστών και μονολιθικές αποκαταστάσεις Emax στα οπίσθια δόντια.  Στη θέση του κάτω αριστερού πρώτου γομφίου, ο οποίος έλειπε και είχε αντικατασταθεί με γέφυρα που στηρίζονταν στα διπλανά δόντια, αποφασίστηκε να τοποθετηθεί εμφύτευμα. Σε όλη τη διάρκεια της θεραπείας η ασθενής ήταν καλυμμένη με προσωρινές προσθετικές αποκαταστάσεις.